Need Help?
+91 7871192939
Need Help?
+91 7871192939
Premium Invisalign Treatment, now more affordable than you think
Premium Invisalign clear aligners planned by certified experts with transparent pricing and flexible EMI options.
Premium Invisalign Treatment, now more affordable than you think
Premium Invisalign clear aligners planned by certified experts with transparent pricing and flexible EMI options.
How much does Invisalign® Treatment cost?
We believe orthodontic care should be accessible and affordable for patients, which is why we offer flexible payment options on Invisalign treatments to match your budget and smile goals.
Simple and Transparent Instalments
Cost from Rs.80k-2.5L
(depending on case complexity)
Payable within 6 to 12 months
No cost EMI
Imagine what Invisalign @Blue Dental could do for your smile!






Want to know if Invisalign Treatment could be right for you?
Our Smile Assessment can help.
Invisalign for Kids
Best for selected children in early growth phase
Invisalign for Teens
Best for Teenagers who want an alternative to metal braces
Invisalign for Adults
Best for Working professionals, business owners, and adults avoiding braces
Why Patients Choose Blue Dental?
World-class care, transparent pricing, and smiles built on trust.
Top 5 in Chennai, Recognized by The Times of India
A recognition we’re proud of — Blue Dental has been ranked among the Top 5 Dental Clinics in Chennai by The Times of India for consecutive years, a reflection of our quality, consistency and patient satisfaction.
Technology That Redefines Dentistry
From Digital Smile Design (DSD) to Invisalign and 3D Imaging, we use the most advanced tools to plan and deliver treatments that are precise, comfortable and predictable.
Specialists for Every Smile
Our multidisciplinary team includes experts in implants, orthodontics, pediatric dentistry and cosmetic dentistry, ensuring that every patient gets comprehensive specialized care under one roof.
Invisalign's Top Provider in Chennai







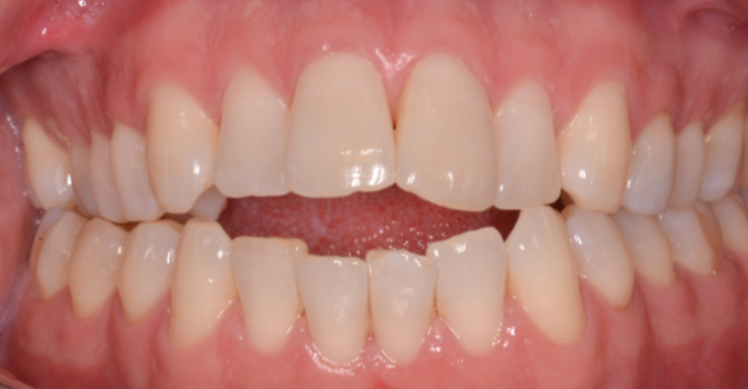
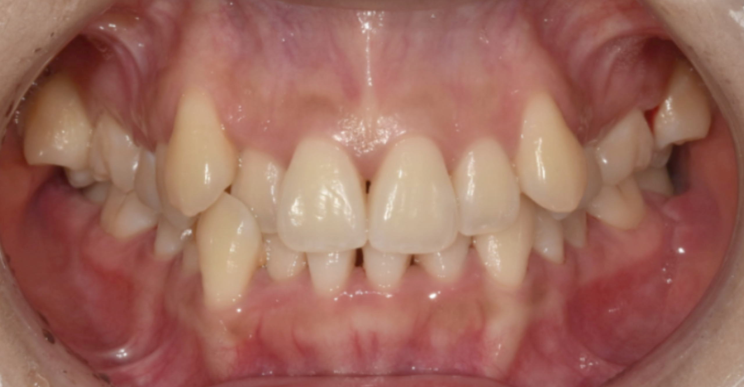
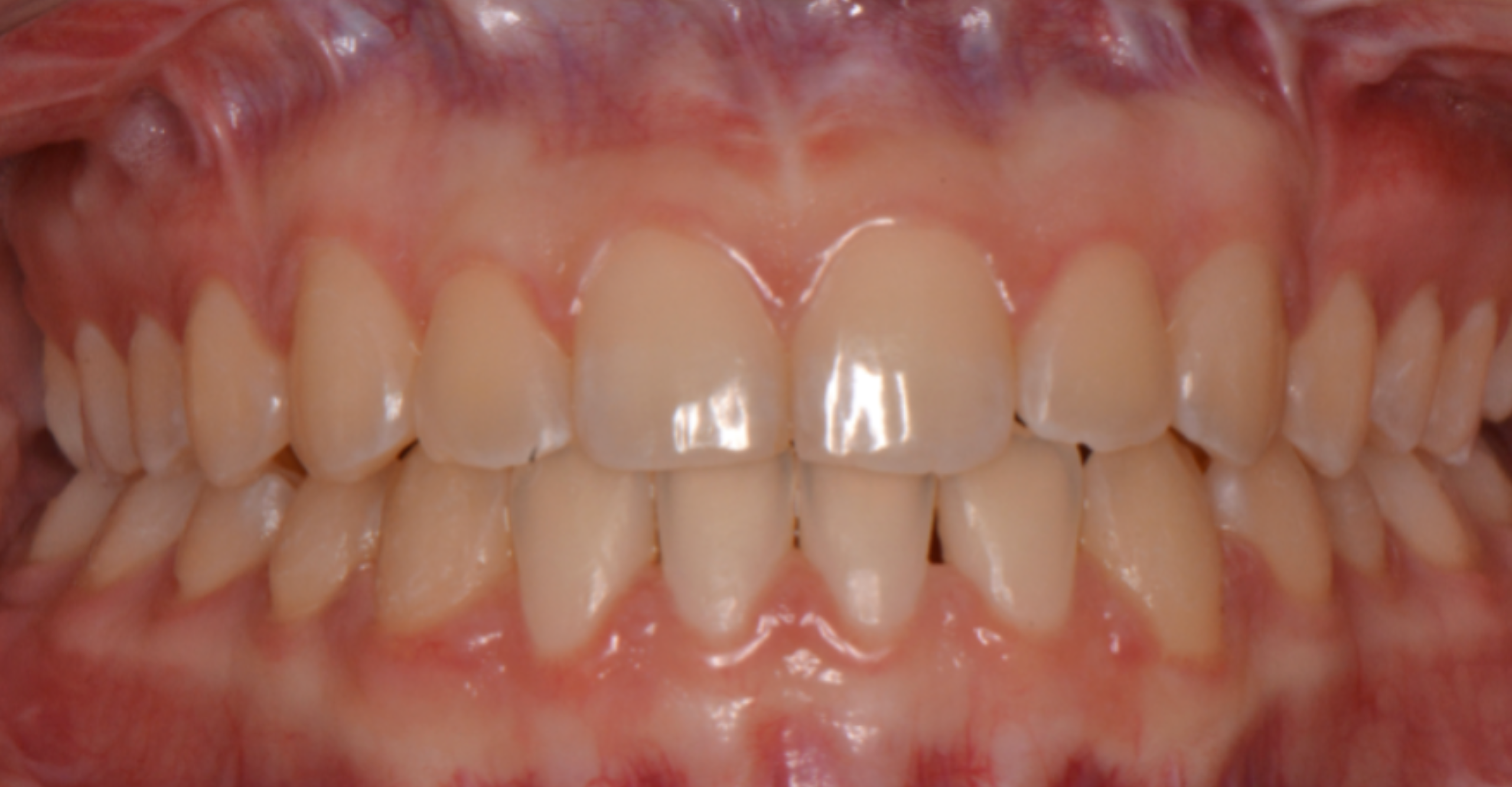
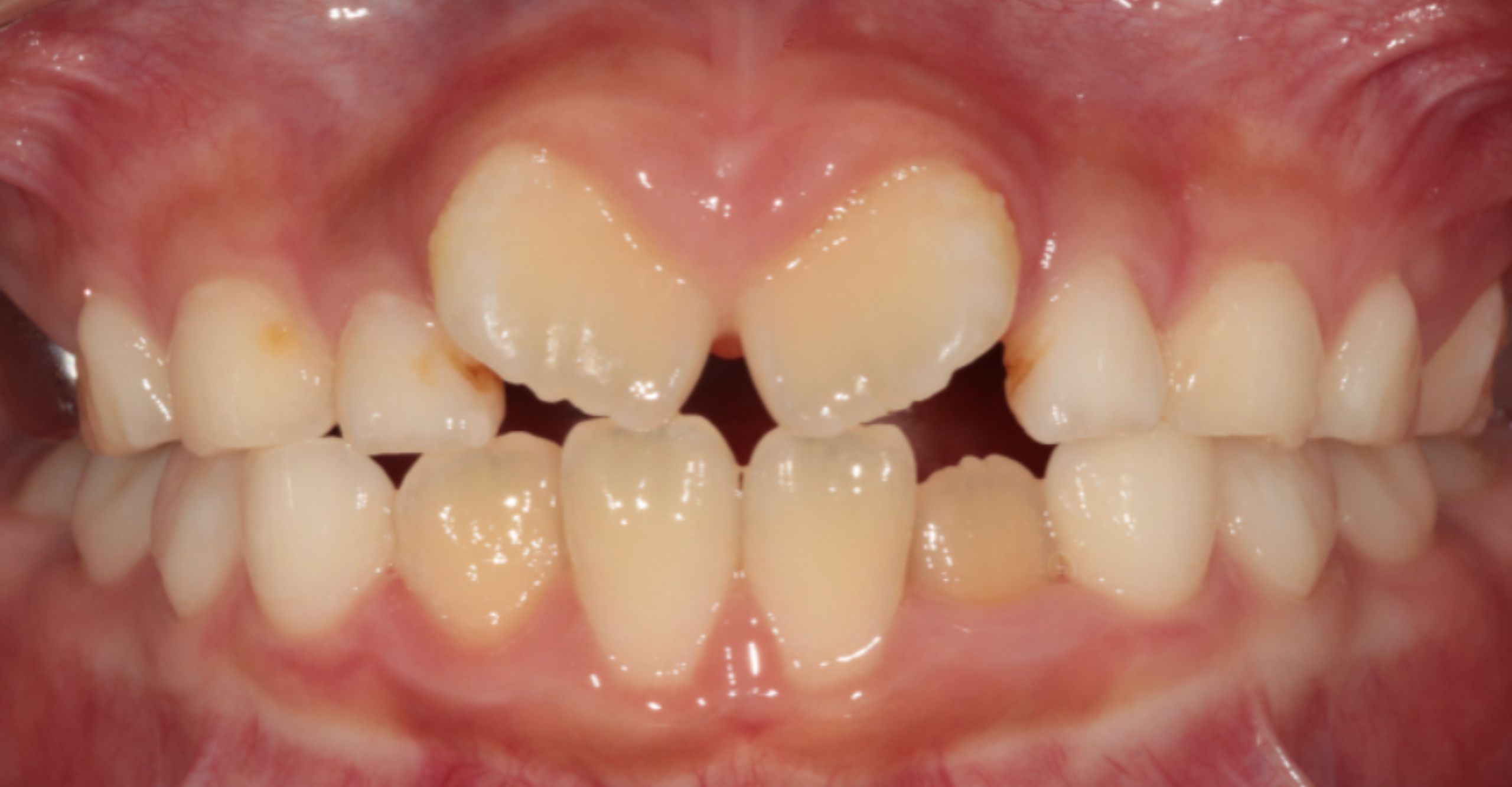
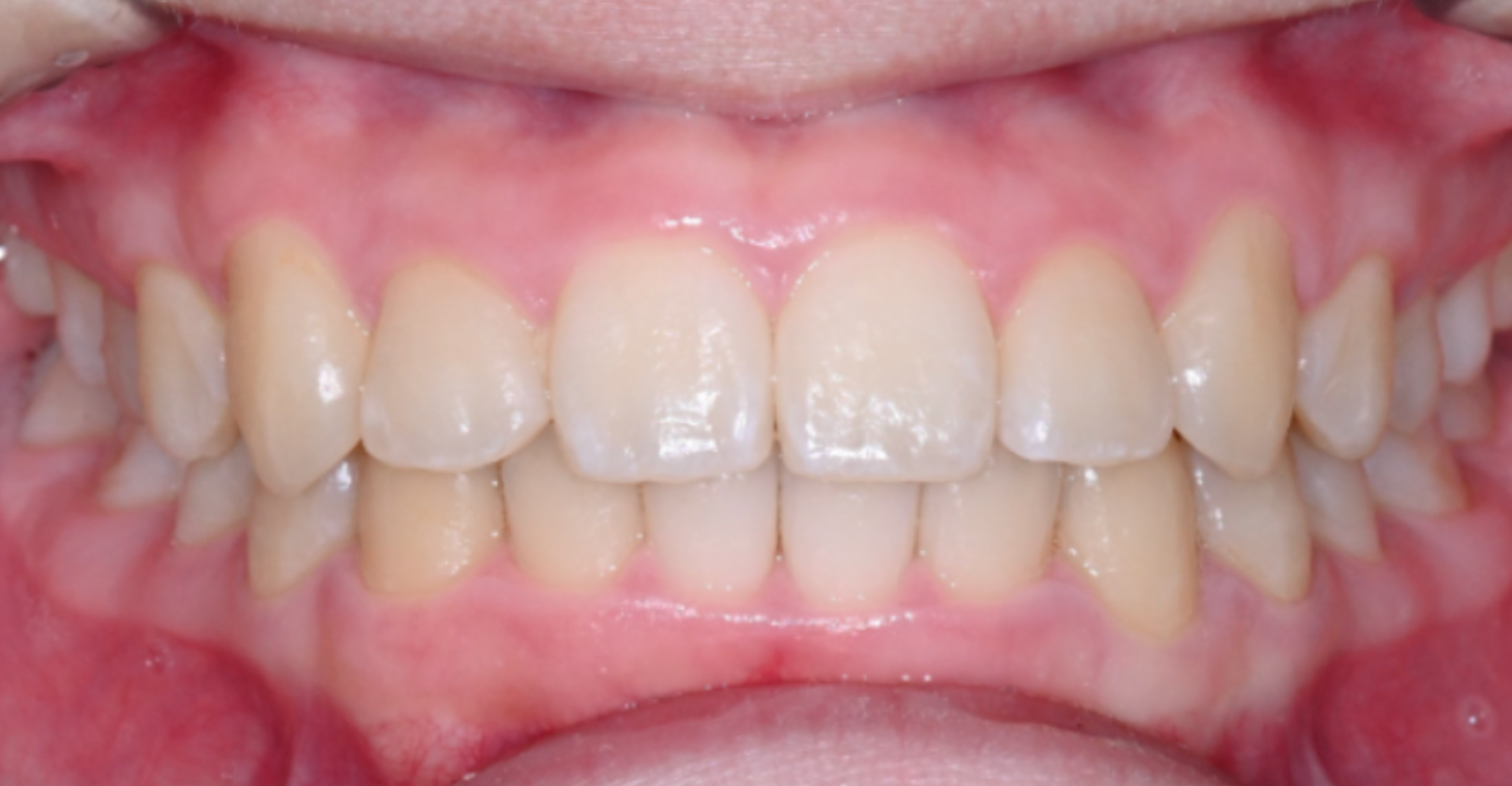
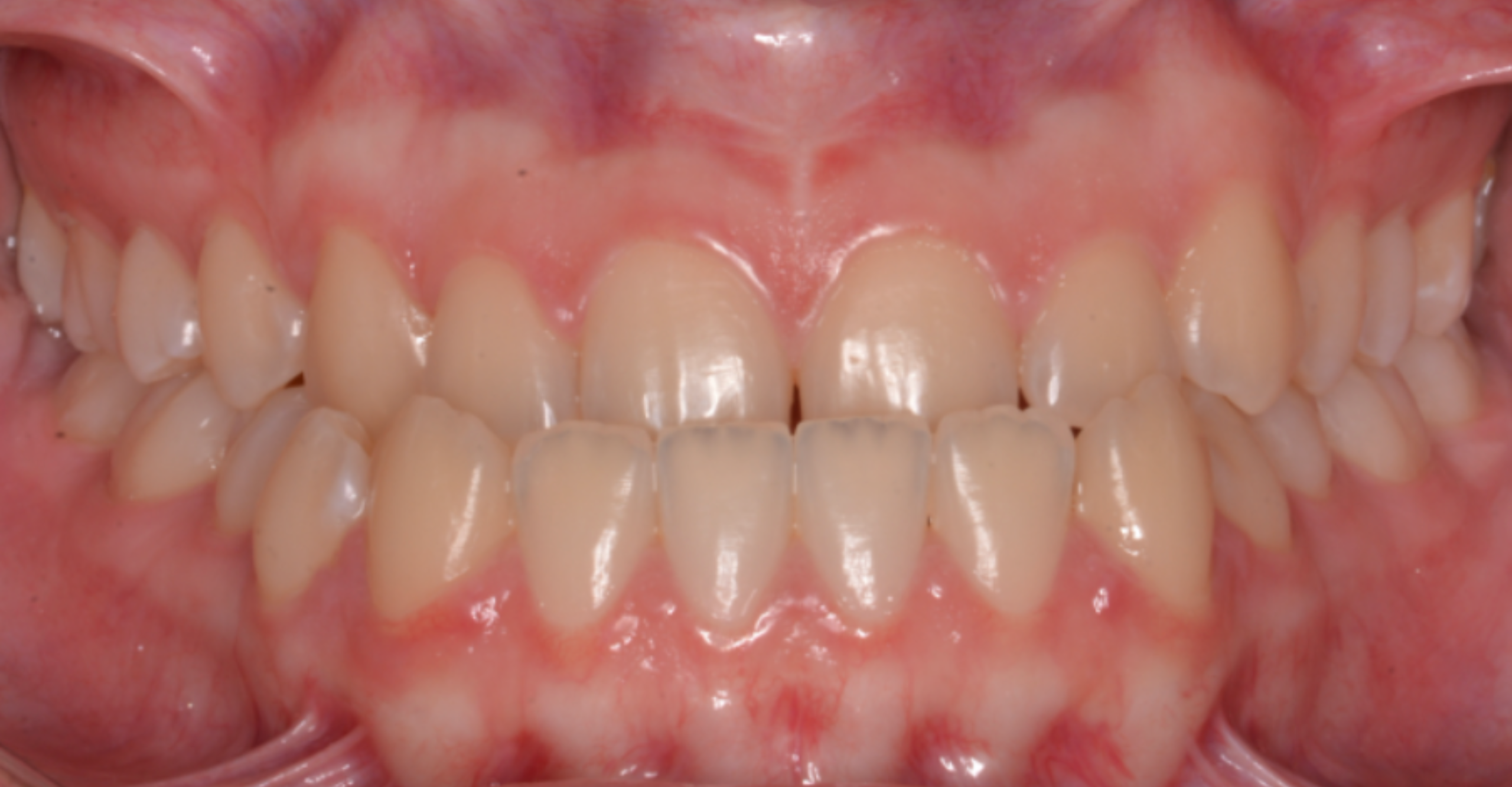
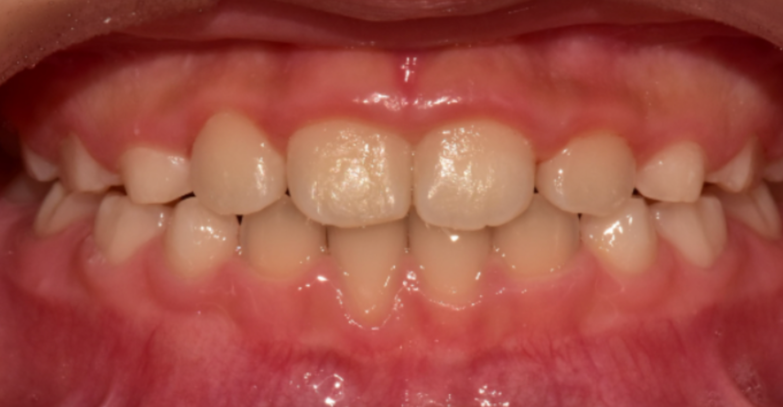
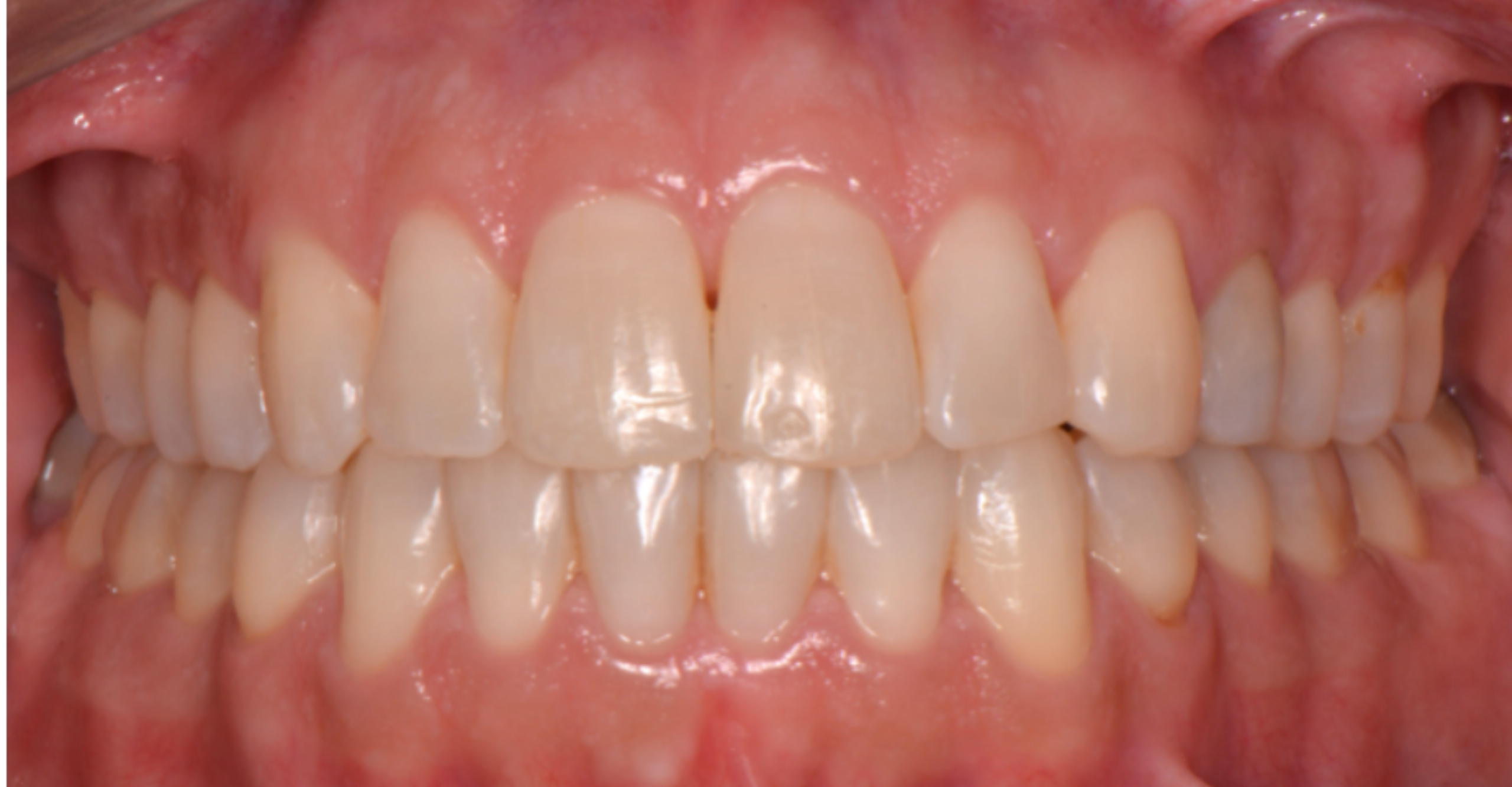
Patient Story
I never thought teeth straightening could be this easy. My Invisalign journey at Blue Dental was comfortable, smooth, and the results were unbelievable!” – Ananya, Chennai
Book Your Invisalign Consultation
Start your Invisalign journey with Chennai’s most trusted provider. Transform your smile discreetly and confidently with Blue Dental.
FAQs
Yes, Invisalign aligners are nearly invisible, comfortable, and removable — making them the most aesthetic and convenient choice.
For best results, wear them 20–22 hours a day.
In many cases, yes. Our digital scans help determine if you’re a good candidate.
Slight pressure is normal initially, but there’s no sharp metal or discomfort like braces.